Planungsarbeit
Planbarkeit ist in unserem Beruf das A und O, um für alle angewandten ein Höchstmaß an Sicherheit für die anstehende Versorgung zu erzielen. Patient, Zahnarzt und auch die Zahntechnik haben ihren eigenen Blickwinkel für das zu erwartende Ergebnis und dies darf nicht durch Zufall erzielt werden.
Vollkeramik- Kronen, Inlays & Veeners
sind keramische Rekonstruktionen und ästhetische Verbesserungen ohne metallische Unterkonstruktionen. Sie erlauben uns durch computergestützte Herstellungsverfahren und Presstechniken naturgetreue Nachbildungen zu erschaffen, die durch Planung, Wissen und Liebe zum Detail ein perfektes Abbild oder Ergänzung zum Original darstellen.
Die hierbei verwendeten Materialien sind ganzheitlich gesehen die beste Art zahntechnisch zu versorgen. Diese sind ästhetisch hervorragend, bioverträglich und weisen beste Schleimhautverträglichkeit auf.
Metallkeramikkronen / Brücken, Inlays
In Kombination mit Goldlegierungen ist dies die klassische verblendete Krone. Sie kann in nahezu allen Bereichen eingesetzt werden. Auch hier kann man ein sehr gutes ästhetisches Ergebnis erzielen. Die Goldinlays bestehen aus hochwertigen Bio-Dentallegierungen. In vielen Situationen sind sie nach wie vor die optimale Ergänzung zur vorhandenen Zahnsubstanz, da sie nahezu die gleichen Abrasionswerte aufweisen.
Implantatversorgungen
Die Implantologie und deren Versorgungen nehmen einen immer größer werdenden Teil der Zahnmedizin und schlussfolgernd auch der Zahntechnik ein. Bei dieser Versorgungsart werden in den Kiefer Implantate inseriert. Eine Zahnlücke kann mit einem Einzelimplantat versorgt werden, um die Nachbarzähne nicht mehr beschleifen zu müssen. Auf mehreren Implantaten getragene Versorgungen können einen zahnlosen Kiefer zu einem festen Zahnersatz verhelfen. Dies führt zu einer bestmöglichen ästhetischen Versorgung die allen Gestalltungswünschen gerecht werden kann.
Kombinierter Zahnersatz
Wie der Name schon sagt kombiniert man in diesem Fall festsitzende Komponenten und herausnehmbare Prothesen. Zu diesem zählen teleskopierender Zahnersatz und Geschiebeprothesen. Beide gewährleisten einen festen Sitz und hohen Tragekomfort. Diese Arten der Zahnversorgungen sind herausnehmbar und können sowohl auf Implantaten als auch auf eigenen, noch vorhandenen Zähnen erfolgen.
Vollanatomische Totalprothese
Alle Zähne sind ersetzt und werden dem Original ins kleinste Detail nachempfunden. Alle Schleimhautanteile werden anatomisch nachempfunden und somit zu einem ästhetisch anspruchsvollen Ergebnis gebracht.
Schienentherapien
Die Schienentherapie gewinnt in der heutigen Zeit immer mehr an Bedeutung. Durch die vielen Stressfaktoren neigen 79% der Menschen zu Dysfunktionen im Kauapparat. Dazu zählen unter anderem nächtliches Knirschen, Pressen, Migräne und Tinnitus!
In diesen Fällen werden Schienen zur Behandlung der Fehl- und Überbelastung, zum Schutz der vorhandenen Zahnhartsubstanz und Adjustierung die Kiefergelenke und Makulaturen zur Neuversorgung verwendet.
Ganzheitlicher Zahnersatz
Durch die Sensibilisierung in der heutigen Zeit nimmt die Anzahl der Allergiker und strahlenempfindlichen Patienten immer mehr zu.
Es ist nun möglich durch innovative Technologien einen Zahnersatz herzustellen, der komplett Metallfrei ist. Auch Kunststoffe, die ein hohes Maß an Allergiepotential aufweisen, werden bei der ganzheitlichen Betrachtungsweise von vornherein ausgeschlossen. Hierfür gibt es PMMA-freie, lichthärtende Alternativen.
Trotz alledem ist die Herstellung eines ästhetischen und funktionalen Zahnersatzes gegeben.
Planungsarbeit




Antischnarchschiene

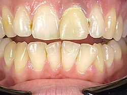
Herausforderung im Detail
Eine Patientin stellte sich nach dem Kronenverlust von Zahn 21 bei uns vor. Die Praxis hatte schon ein Provisorium gefertigt. Wir sollten nun die neue Krone herstellen.
Bei der Farbnahme kamen Aussagen wie: Bitte nicht wieder so hell! Sieht man sie in der Disco dann wieder so? Muss sie eigentlich soweit vorstehen? Ich lächle fast nie auf Arbeit, weil man die so sieht!
Ich konnte die Patientin beruhigen. Wir versuchen die Wünsche immer zu berücksichtigen und bestmöglich umzusetzen. Die Schwierigkeit lag im schwarzen Stumpfanteil. Dieser musste durch die Krone adäquat abgedeckt werden.
Zur Farbkontrolle war die Patientin schon sehr zu frieden und freute sich auf die Eingliederung am nächsten Tag.
Am folgenden Tag kam die Patientin, strahlend kam Sie ins Labor, um ihren neuen „Zahn“ zu präsentieren.
individuelles Gingivaprofil
Many Options - für festsitzenden Zahnersatz
Naturgetreue Textur
Kontakt
Haftungsausschluss
Impressum
Seemann Zahntechnik GmbH & Co. KG
Holzmarktstraße
17
29410 Salzwedel
Telefon: 03901-3939820
E-Mail: info@seemann-zahntechnik.de
Vertreten durch:
Seemann Verwaltungsgesellschaft mbH
Geschäftsführer: Ztm Rayk Seemann
Registergericht: Amtsgericht Stendal
Registernummer: HBR 18313
Registereintrag:
Eingetragen im Handelsregister.
Registergericht: HRA 3719
Registernummer: Amtsgericht Stendal
Umsatzsteuer-ID:
Umsatzsteuer-Identifikationsnummer nach §27a Umsatzsteuergesetz:
DE286925393
Wirtschafts-ID: Wirtschafts-IdNr: 106/112/17019
Aufsichtsbehörde: HWK Magdeburg
Berufsbezeichnung: Zahntechniker
Kammer:
Berufsbezeichnung verliehen im Land:
Regelungen:
Link: http://
Schlichtungsstelle:
Sonstiges:
Hinweis gemäß Online-Streitbeilegungs-Verordnung
Nach geltendem Recht sind wir verpflichtet, Verbraucher auf die Existenz der Europäischen Online-Streitbeilegungs-Plattform hinzuweisen, die für die Beilegung von Streitigkeiten genutzt werden kann, ohne dass ein Gericht eingeschaltet werden muss. Für die Einrichtung der Plattform ist die Europäische Kommission zuständig. Die Europäische Online-Streitbeilegungs-Plattform ist hier zu finden: http://ec.europa.eu/odr. Unsere E-Mail lautet: info@seemann-zahntechnik.de
Wir weisen aber darauf hin, dass wir nicht bereit sind, uns am Streitbeilegungsverfahren im Rahmen der Europäischen Online-Streitbeilegungs-Plattform zu beteiligen. Nutzen Sie zur Kontaktaufnahme bitte unsere obige E-Mail und Telefonnummer.
Hinweis gemäß Verbraucherstreitbeilegungsgesetz (VSBG)
Wir sind nicht bereit und verpflichtet, an Streitbeilegungsverfahren vor einer Verbraucherschlichtungsstelle teilzunehmen.
Disclaimer – rechtliche Hinweise
§ 1 Warnhinweis zu Inhalten
Die kostenlosen und frei zugänglichen Inhalte dieser Webseite wurden mit größtmöglicher Sorgfalt erstellt. Der Anbieter dieser Webseite übernimmt jedoch keine Gewähr für die Richtigkeit und Aktualität der bereitgestellten kostenlosen und frei zugänglichen journalistischen Ratgeber und Nachrichten. Namentlich gekennzeichnete Beiträge geben die Meinung des jeweiligen Autors und nicht immer die Meinung des Anbieters wieder. Allein durch den Aufruf der kostenlosen und frei zugänglichen Inhalte kommt keinerlei Vertragsverhältnis zwischen dem Nutzer und dem Anbieter zustande, insoweit fehlt es am Rechtsbindungswillen des Anbieters.
§ 2 Externe Links
Diese Website enthält Verknüpfungen zu Websites Dritter ("externe Links"). Diese Websites unterliegen der Haftung der jeweiligen Betreiber. Der Anbieter hat bei der erstmaligen Verknüpfung der externen Links die fremden Inhalte daraufhin überprüft, ob etwaige Rechtsverstöße bestehen. Zu dem Zeitpunkt waren keine Rechtsverstöße ersichtlich. Der Anbieter hat keinerlei Einfluss auf die aktuelle und zukünftige Gestaltung und auf die Inhalte der verknüpften Seiten. Das Setzen von externen Links bedeutet nicht, dass sich der Anbieter die hinter dem Verweis oder Link liegenden Inhalte zu Eigen macht. Eine ständige Kontrolle der externen Links ist für den Anbieter ohne konkrete Hinweise auf Rechtsverstöße nicht zumutbar. Bei Kenntnis von Rechtsverstößen werden jedoch derartige externe Links unverzüglich gelöscht.
§ 3 Urheber- und Leistungsschutzrechte
Die auf dieser Website veröffentlichten Inhalte unterliegen dem deutschen Urheber- und Leistungsschutzrecht. Jede vom deutschen Urheber- und Leistungsschutzrecht nicht zugelassene Verwertung bedarf der vorherigen schriftlichen Zustimmung des Anbieters oder jeweiligen Rechteinhabers. Dies gilt insbesondere für Vervielfältigung, Bearbeitung, Übersetzung, Einspeicherung, Verarbeitung bzw. Wiedergabe von Inhalten in Datenbanken oder anderen elektronischen Medien und Systemen. Inhalte und Rechte Dritter sind dabei als solche gekennzeichnet. Die unerlaubte Vervielfältigung oder Weitergabe einzelner Inhalte oder kompletter Seiten ist nicht gestattet und strafbar. Lediglich die Herstellung von Kopien und Downloads für den persönlichen, privaten und nicht kommerziellen Gebrauch ist erlaubt.
Die Darstellung dieser Website in fremden Frames ist nur mit schriftlicher Erlaubnis zulässig.
§ 4 Besondere Nutzungsbedingungen
Soweit besondere Bedingungen für einzelne Nutzungen dieser Website von den vorgenannten Paragraphen abweichen, wird an entsprechender Stelle ausdrücklich darauf hingewiesen. In diesem Falle gelten im jeweiligen Einzelfall die besonderen Nutzungsbedingungen.
Quelle: Impressum Muster von JuraForum.de
Vorschau (Datenschutz):
Wir informieren Sie nachfolgend gemäß den gesetzlichen Vorgaben des Datenschutzrechts (insb. gemäß BDSG n.F. und der europäischen Datenschutz-Grundverordnung ‚DS-GVO‘) über die Art, den Umfang und Zweck der Verarbeitung personenbezogener Daten durch unser Unternehmen. Diese Datenschutzerklärung gilt auch für unsere Websites und Sozial-Media-Profile. Bezüglich der Definition von Begriffen wie etwa „personenbezogene Daten“ oder „Verarbeitung“ verweisen wir auf Art. 4 DS-GVO.
Name und Kontaktdaten des / der Verantwortlichen
Unser/e Verantwortliche/r (nachfolgend „Verantwortlicher“) i.S.d. Art. 4 Zif. 7 DS-GVO ist:
Seemann Verwaltungsgesellschaft mbH
Holzmarktstraße
Salzwedel
Geschäftsführer Rayk Seemann
Handelsregister/Nr.: HRB 18313
Registergericht: Amtsgericht Stendal
E-Mail-Adresse: mail@seemann-zahntechnik.de
Datenarten, Zwecke der Verarbeitung und Kategorien betroffener Personen
Nachfolgend informieren wir Sie über Art, Umfang und Zweck der Erhebung, Verarbeitung und Nutzung personenbezogener Daten.
1. Arten der Daten, die wir verarbeiten
Nutzungsdaten (Zugriffszeiten, besuchte Websites etc.), Bestandsdaten (Name, Adresse etc.), Kontaktdaten (Telefonnummer, E-Mail, Fax etc.), Inhaltsdaten (Texteingaben, Videos, Fotos etc.), Kommunikationsdaten (IP-Adresse etc.),
2. Zwecke der Verarbeitung nach Art. 13 Abs. 1 c) DS-GVO
Beweiszwecke / Beweissicherung, Website technisch und wirtschaftlich optimieren, Leichten Zugang zur Website ermöglichen, Erfüllung vertraglicher Verpflichtungen, Kontaktaufnahme bei juristischer Beanstandung durch Dritte, Optimierung und statistische Auswertung unserer Dienste, Kommerzielle Nutzung der Website unterstützen, Nutzererfahrung verbessern, Website benutzerfreundlich gestalten, Wirtschaftlicher Betrieb der Werbung und Website, Marketing / Vertrieb / Werbung, Erstellung von Statistiken, Kopierwahrscheinlichkeit von Texten ermitteln, Vermeidung von SPAM und Missbrauch, Kundenservice und Kundenpflege, Kontaktanfragen abwickeln, Websites mit Funktionen und Inhalten bereitstellen, Maßnahmen der Sicherheit,
3. Kategorien der betroffenen Personen nach Art. 13 Abs. 1 e) DS-GVO
Besucher/Nutzer der Website, Kunden, Lieferanten, Interessenten, Bewerber, Beschäftigte,
Die betroffenen Personen werden zusammenfassend als „Nutzer“ bezeichnet.
Rechtsgrundlagen der Verarbeitung personenbezogener Daten
Nachfolgend Informieren wir Sie über die Rechtsgrundlagen der Verarbeitung personenbezogener Daten:
- Wenn wir Ihre Einwilligung für die Verarbeitung personenbezogenen Daten eingeholt haben, ist Art. 6 Abs. 1 S. 1 lit. a) DS-GVO Rechtsgrundlage.
- Ist die Verarbeitung zur Erfüllung eines Vertrags oder zur Durchführung vorvertraglicher Maßnahmen erforderlich, die auf Ihre Anfrage hin erfolgen, so ist Art. 6 Abs. 1 S. 1 lit. b) DS-GVO Rechtsgrundlage.
- Ist die Verarbeitung zur Erfüllung einer rechtlichen Verpflichtung erforderlich, der wir unterliegen (z.B. gesetzliche Aufbewahrungspflichten), so ist Art. 6 Abs. 1 S. 1 lit. c) DS-GVO Rechtsgrundlage.
- Ist die Verarbeitung erforderlich, um lebenswichtige Interessen der betroffenen Person oder einer anderen natürlichen Person zu schützen, so ist Art. 6 Abs. 1 S. 1 lit. d) DS-GVO Rechtsgrundlage.
- Ist die Verarbeitung zur Wahrung unserer oder der berechtigten Interessen eines Dritten erforderlich und überwiegen diesbezüglich Ihre Interessen oder Grundrechte und Grundfreiheiten nicht, so ist Art. 6 Abs. 1 S. 1 lit. f) DS-GVO Rechtsgrundlage.
Weitergabe personenbezogener Daten an Dritte und Auftragsverarbeiter
Ohne Ihre Einwilligung geben wir grundsätzlich keine Daten an Dritte weiter. Sollte dies doch der Fall sein, dann erfolgt die Weitergabe auf der Grundlage der zuvor genannten Rechtsgrundlagen z.B. bei der Weitergabe von Daten an Online-Paymentanbieter zur Vertragserfüllung oder aufgrund gerichtlicher Anordnung oder wegen einer gesetzlichen Verpflichtung zur Herausgabe der Daten zum Zwecke der Strafverfolgung, zur Gefahrenabwehr oder zur Durchsetzung der Rechte am geistigen Eigentum.
Wir setzen zudem Auftragsverarbeiter (externe Dienstleister z.B. zum Webhosting unserer Websites und Datenbanken) zur Verarbeitung Ihrer Daten ein. Wenn im Rahmen einer Vereinbarung zur Auftragsverarbeitung an die Auftragsverarbeiter Daten weitergegeben werden, erfolgt dies immer nach Art. 28 DS-GVO. Wir wählen dabei unsere Auftragsverarbeiter sorgfältig aus, kontrollieren diese regelmäßig und haben uns ein Weisungsrecht hinsichtlich der Daten einräumen lassen. Zudem müssen die Auftragsverarbeiter geeignete technische und organisatorische Maßnahmen getroffen haben und die Datenschutzvorschriften gem. BDSG n.F. und DS-GVO einhalten
Datenübermittlung in Drittstaaten
Durch die Verabschiedung der europäischen Datenschutz-Grundverordnung (DS-GVO) wurde eine einheitliche Grundlage für den Datenschutz in Europa geschaffen. Ihre Daten werden daher vorwiegend durch Unternehmen verarbeitet, für die DS-GVO Anwendung findet. Sollte doch die Verarbeitung durch Dienste Dritter außerhalb der Europäischen Union oder des Europäischen Wirtschaftsraums stattfinden, so müssen diese die besonderen Voraussetzungen der Art. 44 ff. DS-GVO erfüllen. Das bedeutet, die Verarbeitung erfolgt aufgrund besonderer Garantien, wie etwa die von der EU-Kommission offiziell anerkannte Feststellung eines der EU entsprechenden Datenschutzniveaus oder der Beachtung offiziell anerkannter spezieller vertraglicher Verpflichtungen, der so genannten „Standardvertragsklauseln“. Bei US-Unternehmen erfüllt die Unterwerfung unter das sog. „Privacy-Shield“, dem Datenschutzabkommen zwischen der EU und den USA, diese Voraussetzungen.
Löschung von Daten und Speicherdauer
Sofern nicht in dieser Datenschutzerklärung ausdrücklich angegeben, werden Ihre personenbezogen Daten gelöscht oder gesperrt, sobald der Zweck für die Speicherung entfällt, es sei denn deren weitere Aufbewahrung ist zu Beweiszwecken erforderlich oder dem stehen gesetzliche Aufbewahrungspflichten entgegenstehen. Darunter fallen etwa handelsrechtliche Aufbewahrungspflichten von Geschäftsbriefen nach § 257 Abs. 1 HGB (6 Jahre) sowie steuerrechtliche Aufbewahrungspflichten nach § 147 Abs. 1 AO von Belegen (10 Jahre). Wenn die vorgeschriebene Aufbewahrungsfrist abläuft, erfolgt eine Sperrung oder Löschung Ihrer Daten, es sei denn die Speicherung ist weiterhin für einen Vertragsabschluss oder zur Vertragserfüllung erforderlich.
Bestehen einer automatisierten Entscheidungsfindung
Wir setzen keine automatische Entscheidungsfindung oder ein Profiling ein.
Bereitstellung unserer Website und Erstellung von Logfiles
- Wenn Sie unsere Webseite lediglich informatorisch nutzen (also keine Registrierung und auch keine anderweitige Übermittlung von Informationen), erheben wir nur die personenbezogenen Daten, die Ihr Browser an unseren Server übermittelt. Wenn Sie unsere Website betrachten möchten, erheben wir die folgenden Daten: • IP-Adresse;
• Internet-Service-Provider des Nutzers;
• Datum und Uhrzeit des Abrufs;
• Browsertyp;
• Sprache und Browser-Version;
• Inhalt des Abrufs;
• Zeitzone;
• Zugriffsstatus/HTTP-Statuscode;
• Datenmenge;
• Websites, von denen die Anforderung kommt;
• Betriebssystem.
Eine Speicherung dieser Daten zusammen mit anderen personenbezogenen Daten von Ihnen findet nicht statt.
- Diese Daten dienen dem Zweck der nutzerfreundlichen, funktionsfähigen und sicheren Auslieferung unserer Website an Sie mit Funktionen und Inhalten sowie deren Optimierung und statistischen Auswertung.
- Rechtsgrundlage hierfür ist unser in den obigen Zwecken auch liegendes berechtigtes Interesse an der Datenverarbeitung nach Art. 6 Abs. 1 S.1 lit. f) DS-GVO.
- Wir speichern aus Sicherheitsgründen diese Daten in Server-Logfiles für die Speicherdauer von 90 Tagen. Nach Ablauf dieser Frist werden diese automatisch gelöscht, es sei denn wir benötigen deren Aufbewahrung zu Beweiszwecken bei Angriffen auf die Serverinfrastruktur oder anderen Rechtsverletzungen.
Cookies
- Wir verwenden sog. Cookies bei Ihrem Besuch unserer Website. Cookies sind kleine Textdateien, die Ihr Internet-Browser auf Ihrem Rechner ablegt und speichert. Wenn Sie unsere Website erneut aufrufen, geben diese Cookies Informationen ab, um Sie automatisch wiederzuerkennen. Die so erlangten Informationen dienen dem Zweck, unsere Webangebote technisch und wirtschaftlich zu optimieren und Ihnen einen leichteren und sicheren Zugang auf unsere Website zu ermöglichen. Wir informieren Sie dazu beim Aufruf unserer Website mittels eines Hinweises auf unsere Datenschutzerklärung über die Verwendung von Cookies zu den zuvor genannten Zwecken und wie Sie dieser widersprechen bzw. deren Speicherung verhindern können („Opt-out“). Unsere Website nutzt Session-Cookies, persistente Cookies und Cookies von Drittanbietern:
• Session-Cookies: Wir verwenden sog. Cookies zum Wiedererkennen mehrfacher Nutzung eines Angebots durch denselben Nutzer (z.B. wenn Sie sich eingeloggt haben zur Feststellung Ihres Login-Status). Wenn Sie unsere Seite erneut aufrufen, geben diese Cookies Informationen ab, um Sie automatisch wiederzuerkennen. Die so erlangten Informationen dienen dazu, unsere Angebote zu optimieren und Ihnen einen leichteren Zugang auf unsere Seite zu ermöglichen. Wenn Sie den Browser schließen oder Sie sich ausloggen, werden die Session-Cookies gelöscht.
• Persistente Cookies: Diese werden automatisiert nach einer vorgegebenen Dauer gelöscht, die sich je nach Cookie unterscheiden kann. In den Sicherheitseinstellungen Ihres Browsers können Sie die Cookies jederzeit löschen.
• Cookies von Drittanbietern (Third-Party-Cookies): Entsprechend Ihren Wünschen können Sie können Ihre Browser-Einstellung konfigurieren und z. B. Die Annahme von Third-Party-Cookies oder allen Cookies ablehnen. Wir weisen Sie jedoch an dieser Stelle darauf hin, dass Sie dann eventuell nicht alle Funktionen dieser Website nutzen können. Lesen Sie Näheres zu diesen Cookies bei den jeweiligen Datenschutzerklärungen zu den Drittanbietern.
- Rechtsgrundlage dieser Verarbeitung ist Art. 6 Abs. 1 S. lit. b) DS-GVO, wenn die Cookies zur Vertragsanbahnung z.B. bei Bestellungen gesetzt werden und ansonsten haben wir ein berechtigtes Interesse an der effektiven Funktionalität der Website, so dass in dem Falle Art. 6 Abs. 1 S. 1 lit. f) DS-GVO Rechtsgrundlage ist.
- Widerspruch und „Opt-Out“: Das Speichern von Cookies auf Ihrer Festplatte können Sie allgemein verhindern, indem Sie in Ihren Browser-Einstellungen „keine Cookies akzeptieren“ wählen. Dies kann aber eine Funktionseinschränkung unserer Angebote zur Folge haben. Sie können dem Einsatz von Cookies von Drittanbietern zu Werbezwecken über ein sog. „Opt-out“ über diese amerikanische Website (https://optout.aboutads.info) oder diese europäische Website (http://www.youronlinechoices.com/de/praferenzmanagement/) widersprechen.
Kontaktaufnahme per Kontaktformular / E-Mail / Fax / Post
- Bei der Kontaktaufnahme mit uns per Kontaktformular, Fax, Post oder E-Mail werden Ihre Angaben zum Zwecke der Abwicklung der Kontaktanfrage verarbeitet.
- Rechtsgrundlage für die Verarbeitung der Daten ist bei Vorliegen einer Einwilligung von Ihnen Art. 6 Abs. 1 S. 1 lit. a) DS-GVO. Rechtsgrundlage für die Verarbeitung der Daten, die im Zuge einer Kontaktanfrage oder E-Mail, eines Briefes oder Faxes übermittelt werden, ist Art. 6 Abs. 1 S. 1 lit. f) DS-GVO. Der Verantwortliche hat ein berechtigtes Interesse an der Verarbeitung und Speicherung der Daten, um Anfragen der Nutzer beantworten zu können, zur Beweissicherung aus Haftungsgründen und um ggf. seiner gesetzlichen Aufbewahrungspflichten bei Geschäftsbriefen nachkommen zu können. Zielt der Kontakt auf den Abschluss eines Vertrages ab, so ist zusätzliche Rechtsgrundlage für die Verarbeitung Art. 6 Abs. 1 S. 1 lit. b) DS-GVO.
- Wir können Ihre Angaben und Kontaktanfrage in unserem Customer-Relationship-Management System ("CRM System") oder einem vergleichbaren System speichern.
- Die Daten werden gelöscht, sobald sie für die Erreichung des Zweckes ihrer Erhebung nicht mehr erforderlich sind. Für die personenbezogenen Daten aus der Eingabemaske des Kontaktformulars und diejenigen, die per E-Mail übersandt wurden, ist dies dann der Fall, wenn die jeweilige Konversation mit Ihnen beendet ist. Beendet ist die Konversation dann, wenn sich aus den Umständen entnehmen lässt, dass der betroffene Sachverhalt abschließend geklärt ist. Anfragen von Nutzern, die über einen Account bzw. Vertrag mit uns verfügen, speichern wir bis zum Ablauf von zwei Jahren nach Vertragsbeendigung. Im Fall von gesetzlichen Archivierungspflichten erfolgt die Löschung nach deren Ablauf: Ende handelsrechtlicher (6 Jahre) und steuerrechtlicher (10 Jahre) Aufbewahrungspflicht.
- Sie haben jederzeit die Möglichkeit, die Einwilligung nach Art. 6 Abs. 1 S. 1 lit. a) DS-GVO zur Verarbeitung der personenbezogenen Daten zu widerrufen. Nehmen Sie per E-Mail Kontakt mit uns auf, so können Sie der Speicherung der personenbezogenen Daten jederzeit widersprechen.
Facebook Custom Audiences
- Wir verwenden auf unserer Website die Remarketing-Funktion „Custom Audiences“ der Facebook Inc., 1 Hacker Way, Menlo Park, CA 94025, USA bzw. falls Sie in der EU ansässig sind, Facebook Ireland Ltd., 4 Grand Canal Square, Grand Canal Harbour, Dublin 2, Irland. Facebook hat sich dem Privacy-Shield-Abkommen unterworfen (https://www.privacyshield.gov/EU-US-Framework).
- Wenn Sie das soziale Netzwerk Facebook oder andere Websites, die diese Remarketing-Funktion nutzen, besuchen können Ihren interessenbezogene Werbeanzeigen („Facebook-Ads“) angezeigt werden. Wir nutzen die Remarketing-Funktion zur Optimierung und wirtschaftlichen Betrieb unserer Website und um Ihnen möglichst Werbung zu zeigen, die Sie interessiert und um damit unsere Website benutzerfreundlicher zu gestalten.
- Beim Aufruf unserer Website stellt Ihr Browser eine Verbindung zu den Servern von Facebook her. Welche Daten genau dabei an Facebook übertragen werden, entzieht sich unserer Kenntnis. Facebook erhält aber die Information, dass Sie eine entsprechende Anzeige aufgerufen bzw. geklickt haben. Wenn Sie dabei bei Facebook eingeloggt sind, kann Facebook diese Informationen Ihrem Account zuordnen.
- Rechtsgrundlage hierfür ist unser in den obigen Zwecken auch liegendes berechtigtes Interesse an der Datenverarbeitung nach Art. 6 Abs. 1 S.1 lit. f) DS-GVO.
- Hinsichtlich der Verarbeitung durch Facebook lesen Sie bitte Facebooks Datenschutzerklärung unter https://www.facebook.com/policy.php. Spezielle Informationen und Details zum Facebook-Pixel und seiner Funktionsweise erhalten Sie im Hilfebereich von Facebook:
https://www.facebook.com/business/help/651294705016616.
- Die Deaktivierung der Funktion „Facebook Custom Audiences“ ist für nicht eingeloggte Nutzer hier [__Facebook Pixel Opt-Out Link Ihrer Webseite eintragen__] möglich und für eingeloggte Nutzer unter diesem Link möglich: https://www.facebook.com/settings/?tab=ads#.
- Weitere Informationen zur Datenverarbeitung durch Facebook erhalten Sie unter https://www.facebook.com/about/privacy.
Präsenz in sozialen Medien
- Wir unterhalten in sozialen Medien Profile bzw. Fanpages, um mit den dort angeschlossenen und registrierten Nutzern zu kommunizieren und um über unsere Produkte, Angebote und Dienstleistungen zu informieren. Die US-Anbieter sind nach dem sog. Privacy-Shield zertifiziert und damit verpflichtet europäischen Datenschutz einzuhalten. Bei der Nutzung und dem Aufruf unseres Profils im jeweiligen Netzwerk durch Sie gelten die jeweiligen Datenschutzhinweise und Nutzungsbedingungen des jeweiligen Netzwerks.
- Wir verarbeiten Ihre Daten, die Sie uns über diese Netzwerke senden, um mit Ihnen zu kommunizieren und um Ihre dortigen Nachrichten zu beantworten.
- Die Rechtsgrundlage für die Verarbeitung der personenbezogenen Daten ist unser berechtigtes Interesse an der Kommunikation mit den Nutzern und unsere Außendarstellung zwecks Werbung gemäß Art. 6 Abs. 1 S. 1 lit. f) DS-GVO. Soweit Sie dem Verantwortlichen des sozialen Netzwerks eine Einwilligung in die Verarbeitung Ihrer personenbezogenen Daten erteilt haben, ist Rechtsgrundlage Art. 6 Abs. 1 S. 1 lit. a) und Art. 7 DS-GVO.
- Die Datenschutzhinweise, Auskunftsmöglichkeiten und Widerspruchmöglichkeiten (Opt-Out) der jeweiligen Netzwerke finden Sie hier:
• Facebook (Facebook Ireland Ltd., 4 Grand Canal Square, Grand Canal Harbour, Dublin 2, Irland) Datenschutzerklärung: https://www.facebook.com/about/privacy/, Opt-Out: https://www.facebook.com/settings?tab=ads und http://www.youronlinechoices.com, Privacy Shield: https://www.privacyshield.gov/participant?id=a2zt0000000GnywAAC&status=Active.
Social-Media-Plug-ins
- Wir setzen auf unserer Webseite Social-Media-Plug-ins von sozialen Netzwerken ein. Dabei nutzen wir die sog. „Zwei-Klick-Lösung“-Shariff von c’t bzw. heise.de. Beim Abruf unserer Website werden dadurch keine personenbezogenen Daten an die Anbieter der Plug-ins übermittelt. Neben dem Logo bzw. der Marke des sozialen Netzwerks finden Sie einen Regler, mit dem Sie das Plug-in per Klick aktivieren können. Nach der Aktivierung erhält der Anbieter des sozialen Netzwerks die Information, dass Sie unsere Website aufgerufen haben und Ihre personenbezogenen Daten an den Anbieter des Plug-ins übermittelt und dort gespeichert werden. Hierbei handelt es sich um sog. Thirdparty Cookies. Bei einigen Anbietern wie Facebook und XING wird nach deren Angaben Ihre IP nach der Erhebung sofort anonymisiert.
- Die über den Nutzer erhobenen Daten speichert der Plug-in-Anbieter als Nutzungsprofile. Diese werden für Zwecke der Werbung, Marktforschung und/oder bedarfsgerechten Gestaltung seiner Website verwendet. Eine solche Auswertung erfolgt insbesondere (auch für nicht eingeloggte Nutzer) zur Darstellung von bedarfsgerechter Werbung und um andere Nutzer des sozialen Netzwerks über die Aktivitäten des Nutzers auf unserer Website zu informieren. Dem Nutzer steht ein Widerspruchsrecht gegen die Bildung dieser Nutzerprofile zu, wobei man sich zur Ausübung dieses Rechts an den jeweiligen Plug-in-Anbieter wenden muss.
- Rechtsgrundlage für die Nutzung der Plug-ins ist unser berechtigtes Interesse an der Verbesserung und Optimierung unserer Website durch die Steigerung unserer Bekanntheit mittels sozialer Netzwerke sowie die Möglichkeit der Interaktion mit Ihnen und der Nutzer untereinander über soziale Netzwerke gemäß Art. 6 Abs. 1 S.1 lit. f) DS-GVO.
- Auf die erhobenen Daten und Datenverarbeitungsvorgänge haben wir keinen Einfluss. Auch haben wir keine Kenntnis vom Umfang der Datenerhebung, vom Zweck der Verarbeitung und von den Speicherfristen. Auch zur Löschung der erhobenen Daten durch den Plug-in-Anbieter liegen uns keine Informationen vor.
- Wir verweisen hinsichtlich des Zwecks und Umfangs der Datenerhebung und Verarbeitung auf die jeweiligen Datenschutzerklärungen der sozialen Netzwerke. Zudem finden Sie dort auch Hinweise zu Ihren Rechten und Einstellungsmöglichkeiten zum Schutz Ihrer personenbezogenen Daten.
- Wir haben auf unserer Website Plug-ins vom sozialen Netzwerk Facebook.com (Firmensitz in der EU: Facebook Ireland Ltd., 4 Grand Canal Square, Grand Canal Harbour, Dublin 2, Irland) im Rahmen der sog. „Zwei-Klick-Lösung“ von Shariff integriert.Diese erkennen Sie am Facebook-Logo „f“ bzw. dem Zusatz „Like“, „Gefällt mir“ oder „Share“.
- Sobald Sie willentlich das Facebook-Plug-in aktivieren, wird hierbei eine Verbindung von Ihrem Browser zu den Servern von Facebook hergestellt. Dabei erhält Facebook die Information, einschließlich Ihrer IP, dass Sie unsere Website aufgerufen haben und überträgt diese Information an Server von Facebook in den USA, wo diese Information gespeichert wird. Wenn Sie bei Facebook in Ihren Account eingeloggt sind, kann Facebook diese Information Ihrem Account zuordnen. Bei Nutzung der Funktionen des Plug-ins, z.B. Betätigung des „Like“-Buttons, werden diese Informationen ebenfalls von Ihrem Browser an die Server von Facebook in den USA übertragen und dort gespeichert sowie in Ihrem Facebook-Profil und ggf. bei Ihren Freunden angezeigt.
- Zweck und Umfang der Datenerhebung sowie ihre weitere Verarbeitung und Nutzung der Daten durch Facebook sowie Ihre diesbezüglichen Rechte und Einstellungsmöglichkeiten zum Schutz Ihrer Privatsphäre, können Sie den Datenschutzhinweisen von Facebook entnehmen: https://www.facebook.com/about/privacy/. Datenerhebung beim „Gefällt mir“-Button: https://www.facebook.com/help/186325668085084. Ihre Einstellungen hinsichtlich der Nutzung Ihrer Profildaten zu Werbezwecken bei Facebook können Sie hier verwalten und widersprechen: https://www.facebook.com/ads/preferences/.
- Wenn Sie sich bei Facebook vor dem Besuch unserer Website ausloggen und Ihre Cookies löschen, werden bei der Aktivierung des Plug-ins keine Daten über den Besuch unserer Website Ihrem Profil auf Facebook zugeordnet.
- Sie können auch das Laden des Facebook Plug-Ins durch sog. „Facebook Blocker“ verhindern, welche Sie als Add-on für Ihren Browser installieren können: Facebook Blocker für Firefox, Chrome und Opera oder 1blocker für Safari, iPad und iPhone.
- Facebook hat sich dem Privacy Shield unterworfen und stellt damit sicher, dass europäisches Datenschutzrecht eingehalten wird: https://www.privacyshield.gov/EU-US-Framework.
Datenschutz bei Bewerbungen und im Bewerberverfahren
- Bewerbungen, die auf elektronischem Wege oder per Post an den Verantwortlichen gesendet werden, werden zum Zwecke der Abwicklung des Bewerberverfahrens elektronisch oder manuell verarbeitet.
- Wir weisen ausdrücklich darauf hin, dass Bewerbungsunterlagen mit „besonderen Kategorien personenbezogener Daten“ nach Art. 9 DS-GVO (z.B. ein Foto, welches Rückschlüsse auf Ihre ethnische Herkunft, Religion oder Ihren Familienstand gibt), mit Ausnahme einer eventuellen Schwerbehinderung, welche Sie aus freier Entscheidung offenlegen möchten, unerwünscht sind. Sie sollen Ihre Bewerbung ohne diese Daten einreichen. Dies hat keine Auswirkungen auf Ihre Bewerberchancen.
- Rechtsgrundlagen für die Verarbeitung sind Art. 6 Abs. 1 S.1 lit. b) DS-GVO sowie § 26 BDSG n.F.
- Wird nach Abschluss des Bewerberverfahrens, ein Arbeitsverhältnis mit dem Bewerber / der Bewerberin eingegangen, werden die Bewerberdaten unter Beachtung einschlägiger Datenschutzvorschriften gespeichert. Wird Ihnen nach Abschluss des Bewerberverfahrens keine Stelle angeboten, so wird Ihr eingereichtes Bewerbungsschreiben samt Unterlagen 6 Monate nach Versand der Absage gelöscht, um etwaigen Ansprüchen und Nachweispflichten nach AGG genügen zu können.
Rechte der betroffenen Person
- Widerspruch oder Widerruf gegen die Verarbeitung Ihrer Daten
Soweit die Verarbeitung auf Ihrer Einwilligung gemäß Art. 6 Abs. 1 S. 1 lit. a), Art. 7 DS-GVO beruht, haben Sie das Recht, die Einwilligung jederzeit zu widerrufen. Die Rechtmäßigkeit der aufgrund der Einwilligung bis zum Widerruf erfolgten Verarbeitung wird dadurch nicht berührt.
Soweit wir die Verarbeitung Ihrer personenbezogenen Daten auf die Interessenabwägung gemäß Art. 6 Abs. 1 S. 1 lit. f) DS-GVO stützen, können Sie Widerspruch gegen die Verarbeitung einlegen. Dies ist der Fall, wenn die Verarbeitung insbesondere nicht zur Erfüllung eines Vertrags mit Ihnen erforderlich ist, was von uns jeweils bei der nachfolgenden Beschreibung der Funktionen dargestellt wird. Bei Ausübung eines solchen Widerspruchs bitten wir um Darlegung der Gründe, weshalb wir Ihre personenbezogenen Daten nicht wie von uns durchgeführt verarbeiten sollten. Im Falle Ihres begründeten Widerspruchs prüfen wir die Sachlage und werden entweder die Datenverarbeitung einstellen bzw. anpassen oder Ihnen unsere zwingenden schutzwürdigen Gründe aufzeigen, aufgrund derer wir die Verarbeitung fortführen.
Sie können der Verarbeitung Ihrer personenbezogenen Daten für Zwecke der Werbung und Datenanalyse jederzeit widersprechen. Das Widerspruchsrecht können Sie kostenfrei ausüben. Über Ihren Werbewiderspruch können Sie uns unter folgenden Kontaktdaten informieren:
Seemann Verwaltungsgesellschaft mbH
Holzmarktstraße
Salzwedel
Geschäftsführer Rayk Seemann
Handelsregister/Nr.: HRB 18313
Registergericht: Amtsgericht Stendal
E-Mail-Adresse: mail@seemann-zahntechnik.de
- Recht auf Auskunft
Sie haben das Recht, von uns eine Bestätigung darüber zu verlangen, ob Sie betreffende personenbezogene Daten verarbeitet werden. Sofern dies der Fall ist, haben Sie ein Recht auf Auskunft über Ihre bei uns gespeicherten persönlichen Daten nach Art. 15 DS-GVO. Dies beinhaltet insbesondere die Auskunft über die Verarbeitungszwecke, die Kategorie der personenbezogenen Daten, die Kategorien von Empfängern, gegenüber denen Ihre Daten offengelegt wurden oder werden, die geplante Speicherdauer, die Herkunft ihrer Daten, sofern diese nicht direkt bei Ihnen erhoben wurden.
- Recht auf Berichtigung
Sie haben ein Recht auf Berichtigung unrichtiger oder auf Vervollständigung richtiger Daten nach Art. 16 DS-GVO.
- Recht auf Löschung
Sie haben ein Recht auf Löschung Ihrer bei uns gespeicherten Daten nach Art. 17 DS-GVO, es sei denn gesetzliche oder vertraglichen Aufbewahrungsfristen oder andere gesetzliche Pflichten bzw. Rechte zur weiteren Speicherung stehen dieser entgegen.
- Recht auf Einschränkung
Sie haben das Recht, eine Einschränkung bei der Verarbeitung Ihrer personenbezogenen Daten zu verlangen, wenn eine der Voraussetzungen in Art. 18 Abs. 1 lit. a) bis d) DS-GVO erfüllt ist:
• Wenn Sie die Richtigkeit der Sie betreffenden personenbezogenen für eine Dauer bestreiten, die es dem Verantwortlichen ermöglicht, die Richtigkeit der personenbezogenen Daten zu überprüfen;
• die Verarbeitung unrechtmäßig ist und Sie die Löschung der personenbezogenen Daten ablehnen und stattdessen die Einschränkung der Nutzung der personenbezogenen Daten verlangen;
• der Verantwortliche die personenbezogenen Daten für die Zwecke der Verarbeitung nicht länger benötigt, Sie diese jedoch zur Geltendmachung, Ausübung oder Verteidigung von Rechtsansprüchen benötigen, oder
• wenn Sie Widerspruch gegen die Verarbeitung gemäß Art. 21 Abs. 1 DS-GVO eingelegt haben und noch nicht feststeht, ob die berechtigten Gründe des Verantwortlichen gegenüber Ihren Gründen überwiegen.
- Recht auf Datenübertragbarkeit
Sie haben ein Recht auf Datenübertragbarkeit nach Art. 20 DS-GVO, was bedeutet, dass Sie die bei uns über Sie gespeicherten personenbezogenen Daten in einem strukturierten, gängigen und maschinenlesbaren Format erhalten können oder die Übermittlung an einen anderen Verantwortlichen verlangen können.
- Recht auf Beschwerde
Sie haben ein Recht auf Beschwerde bei einer Aufsichtsbehörde. In der Regel können Sie sich hierfür an die Aufsichtsbehörde insbesondere in dem Mitgliedstaat ihres Aufenthaltsorts, ihres Arbeitsplatzes oder des Orts des mutmaßlichen Verstoßes wenden.
Datensicherheit
Um alle personenbezogen Daten, die an uns übermittelt werden, zu schützen und um sicherzustellen, dass die Datenschutzvorschriften von uns, aber auch unseren externen Dienstleistern eingehalten werden, haben wir geeignete technische und organisatorische Sicherheitsmaßnahmen getroffen. Deshalb werden unter anderem alle Daten zwischen Ihrem Browser und unserem Server über eine sichere SSL-Verbindung verschlüsselt übertragen.
Stand: 31.01.2019










